Analise o caso e responda: Qual a medida do perímetro cefálico do bebê se 𝝅 = 3,14.


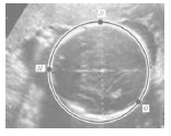
O ultrassom morfológico é um exame muito utilizado para identificar doenças de um bebê que ainda está no ventre da mãe. O formato, a estrutura e a medida da cabeça do bebê podem ser analisados e comparados com medidas de referência.
A figura representa a cabeça de um bebê num exame desse tipo. Através de recursos computacionais, define-se uma circunferência num sistema de coordenadas cartesianas através de três pontos:
M(−3,3), N(2,8) e O(6,0).
O comprimento dessa circunferência corresponde ao que os médicos chamam de perímetro cefálico. No caso indicado na figura acima, por um problema técnico, o computador não indicou o comprimento da circunferência. Sabe-se que cada unidade linear do plano cartesiano que contém a figura corresponde a 1 cm na medida real.