Questão
Faculdade Santa Marcelina - FASM
2012
Fase Única
VER HISTÓRICO DE RESPOSTAS
4000252444
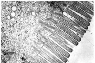
Observe a imagem de microscopia eletrônica de parte de uma célula humana.
(http://contenidos.educarex.es)
Considerando a relação entre forma e função, é possível concluir que o material utilizado para obter essa imagem foi o
A
sangue e o detalhe é de uma hemácea, cuja função é transportar gases respiratórios.
B
músculo, onde as estruturas alongadas representam as fibras de actina e miosina.
C
encéfalo, cujas expansões celulares permitem a condução de impulso nervoso.
D
osso, rico em osteócitos e osteoclastos que refazem o osso em caso de fratura.
E
intestino delgado, cujas dobras da membrana permitem maior absorção de nutrientes.
Responder
Ver solução e comentários